Well I don’t know about you, but I was getting tired of the will-they-won’t-they game when it comes to implant surgeries and cancellations. After the last cancellations they said there would be nothing in the foreseeable future. Yay. So I was back onto waiting, and I tried to put it out of my mind. When they called me at the end of Thursday saying I would be going in on Tuesday, I thought I’d keep it on the down low until we found out whether it would actually happen.
Weirdly, it so happened that I was going in on the same day as a friend of mine, we had chemo together and our original surgeries together, and now, after a lot of back-and-forthing for the both of us, with setbacks, cancellations and a lot of unforeseen circumstances, we were back in on the same day. I did tentatively check first that my good fortune wasn’t a result of his surgery being cancelled, but he assured me that it was some other poor soul who had given up their spot to me (hilariously, the day we were booked in for was a make up from a week before when surgery day was cancelled due to a power failure at the Hospital… you just can’t make these things up…).
Getting to have a pre-surgery catch up was a nice touch. I may have temporarily adopted myself to his parents, and they were kind enough to look after my things as I hopped around to all my pre-surgery meetings. I got to see Deepti (remember her? My surgeon, my bestie) and gave her a huge hug. I may have even squealed. Immediately, the excitement of having this amazing group of people back in my life washed over me. Though I will say, I hope their involvement wanes off now, at least in this capacity.
So I got in at 11am (after a couple of hours at work first) and promptly found my friend and we hung about, chatted, and were consented for surgery, had our blood pressure checked, etc. At around 1, he went in and I knew I would be after, but I also knew his would take a while. At about 1:15 they took me into a room to wait, took all my belongings, sealed them in a bag and put them in a locker. By around 2:45 they came back in and said it wouldn’t be until 4:15 and would I like my things to keep me company? While I enjoyed an hour and a half of just sitting quietly in my own thoughts, I wasn’t much looking forward to another so I thanked them and took my kindle and spent my time reading. 5pm came and they popped back in and said ‘they’re still going on the previous surgery, but should be finished soon…’
Half my mind was on hoping he was doing ok, his body has some issues with getting surgery, and the other half was on hoping they finish soon for my own personal reasons… how late does it need to get before they cancel the second surgery of the afternoon? To be honest, by the time it was after 5pm, I had pretty much convinced myself that the next time someone popped through that door it would be to tell me to go home.
Just after 6, Deepti came in, and it was all go! I put my kindle away and off we went, a quick wave to my friend’s parents as we went by, Deepti letting them know he was fine and would be out soon.
Let me tell you, it was very strange to walk myself to surgery. When I went in a year ago, I was not walking in, I was wheeled in. I thanked Deepti as we walked, so grateful that they were staying late to do my surgery. She said they had booked the room for longer than the standard hours, knowing that it was likely to happen. I found out later that the people in reception had been talking about whether I had been told yet if my surgery was cancelled. Not my team, they were there, making the magic happen. My angels.
People often ask if I’m nervous going into surgery. I’m not, not at all. I feel like there is a buzz about going into surgery, and this one was particularly exciting. It was for that final bit. I think we were all feeling it.
So let me do some explaining.
This surgery was a combined effort between my amazing surgical team who we met in a big way just over a year ago, and the wonderful people at Dawood and Tanner.
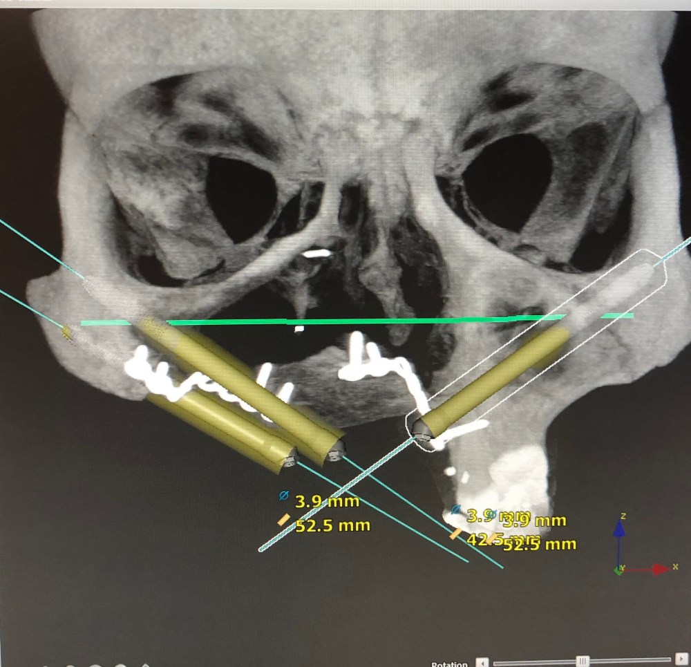
A couple of weeks ago, the people at D&T realised that I didn’t know much about what was coming up and after the first cancelled surgery, they brought me in and took the time to sit me down and explain what was to come. For that reason I’ve got pics that I can now share with you all.
This is my skull (3D printing is cool!):

And these were the plans for implants – they are called zygomatic implants, and we wanted three through the roof of my mouth and into my cheekbones:

So we went in to the surgery with these plans and models, and a ‘best case scenario’ but of course going in to surgery (or at least one this difficult), you never actually know what is going to happen.
Let’s just talk first about that fact that I hate going under anaesthetic. That’s not to say it’s something you should be worried about if you haven’t had surgery before, it’s absolutely fine. I just hate being ‘put’ under. I was super calm before, excited, the cannula went in fine, but right near to going under, I was still stressed – I think it was the point where they put the mask over my face and told me to breathe through my nose – of course I can’t breathe through my nose anymore, but I couldn’t tell him because the sedation was making me drowsy…
I thought coming out of surgery this time would be fine, with it being so much shorter than my other experience (and it was better, in so many ways), but I still woke confused, in pain, and with the same feeling like I needed to say something (I probably always think I need to say something). I couldn’t see anything as it was all blurry, people seemed to be bustling around. I remember at one point lying on the bed groaning. I think someone said ‘it went well’, was that Deepti? Was she there? I think I was reaching my arms out towards something, or at least trying to. I felt sideways, upside down. I kept blinking, hoping my eyes would clear and then eventually they did and who was standing next to me but Anna from Portugal – one of the nurses who first looked after me in ICU after my first surgery. This started the string of ‘wait, I think I know you!’ that kept happening over the next few days.
And that’s all I can manage for today, next instalment to come soon.
Wonderful news Jen. We all await the outcome, and your next chapter .
LikeLike
Awee, well done. Let us know part 2 when you’re feeling up to it ☺️
LikeLike
Well done for managing the blog update. Thinking of you xx
LikeLike
Awesome you survived another round of surgery 🙏😃🤪. Those pictures and the model of your skull are really fasinating. I hope you get to take the model of your skull home when they are done with it :). Hoping the recovery is going ok. I am waiting for Zoe to finish Jazz…it turns out she has potential for dance as well….but the main thing is that she is enjoying it 🙂
LikeLike
Great and fantastic job done by your doctors ; you look amazing > especially Mr K and Deepti have spent hours of their expertise to get you close to your original self . Indeed very happy for your new avatar and new life . Cannot thank the surgeons enough at their spectacular work . Hope they would have found a mention and much appreciation in you life.best of luck .
LikeLike